Mal de Parkinson: falhas em conexões no cérebro podem contribuir para alucinações
De acordo com um novo estudo publicado pela revista Radiology, pesquisadores concluíram que desconexões em regiões do cérebro que envolvem processos visuais e de atenção podem contribuir para alucinações em pacientes que sofrem do Mal de Parkinson. As áreas desconectadas do cérebro, vistas em ressonância magnética funcional (fRMI) podem ser valiosas em predizer o desenvolvimento de alucinações naqueles que sofrem da doença.
Alucinações são sensações que parecem reais, mas nascem a partir da mente humana. Uma pessoa que sofre delas pode ver, ouvir ou sentir algo que não está realmente presente. De acordo com a Fundação Nacional de Parkinson (National Parkinson Foundation), alucinações do tipo visual podem ser um sintoma desta doença.

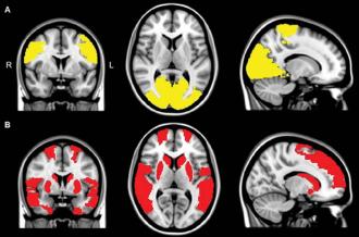
Imagens em ressonância mostram atividade reduzida em pacientes com Parkinson (amarelo) e em pacientes com Parkinson e alucinações (vermelho). Conexões funcionais foram significativamente mais baixas em pacientes que relataram alucinações. Créditos: Radiological Society of North America
“Alucinações visuais são frequentes e debilitantes”, disse o autor do estudo Dagmar H. Hepp. M.D., do Departamento de Neurologia e também do Departamento de Anatomia e Neurociências da VU University Medical Center (VUMC) em Amsterdã, Holanda. “Nossa meta era estudar os mecanismos ocultos por trás destas ocorrências visuais, visto que estes sintomas são muito pouco compreendidos”.
Estudos usando fMRI para investigar estes episódios em pacientes com Parkinson são raros e têm sido restringidos a métodos de rotina, usando atividades que envolvem estímulos visuais ou tarefas cognitivas. No entanto, os autores dizem que a presença de alucinações visuais é fortemente ligada ao desenvolvimento de declínio cognitivo em seus pacientes. Déficits deste tipo podem influenciar a habilidade de um paciente de realizar ordens específicas durante um exame de fRMI.
Para este estudo, os pesquisadores usaram ressonância magnética em pacientes em estado de repouso para examinar a conectividade, ou comunicação, entre áreas seletas do cérebro. A ressonância em repouso é um método que ajuda a criar uma imagem da atividade no cérebro sem que seja necessário concluir nenhuma tarefa específica.
O exame foi aplicado em quinze pacientes que sofreram alucinações, quarenta pacientes que não sofreram, e quinze pacientes saudáveis para controlar e comparar os níveis de sincronização entre os diferentes padrões de resposta das áreas a serem examinadas.
Os resultados mostraram que em todos os pacientes com Parkinson múltiplas regiões do cérebro comunicavam-se menos com as demais, em comparação com o resto do grupo de controle. Contudo, em pacientes que sofreram de alucinações visuais, várias áreas adicionais mostraram conectividades em déficit com o resto do cérebro. Especialmente, aquelas pertinentes à atenção e processos de informações visuais.
“Descobrimos que nestas áreas onde desenvolve-se a atenção e processos visuais falta comunicação com o resto do órgão”, disse o autor do estudo Menno M. Schoonheim, Ph.D. do Departamento de Anatomia e Neurociências da VUMC. “Isso sugere que o desligamento entre estas regiões podem contribuir para os dados sintomas entre os pacientes de Parkinson.”.
Enquanto não há diretamente nenhuma implicação terapêutica para a saúde dos pacientes baseados na pesquisa, os autores notam que os estudos futuros poderiam indicar quais técnicas poderiam ser usadas para estimular as áreas afetadas com menor comunicação entre si, e quais seriam as mais benéficas a combater tais sintomas.
###
“Perda de Conectividade Funcional em Pacientes com Parkinson e Alucinações Visuais.”
Colaborando com Drs. Hepp e Schoonheim estavam Elisabeth M. J. Foncke, Md.D., Ph.D., Kim T.E. Olde Dubbelink, M.D., Ph.D., Wilma D. J. van de Berg, Ph.D., e Henk W. Berendse, M.D., Ph.D.
“Radiology” é editada por Herbert Y. Kressel, M.D. (formado em Harvard Medical School em Boston, Massachussetts) publicada pela Sociedade Radiológica da América do Norte (Radiological Society of North America Inc.)
RSNA é uma associação de mais de 54,600 radiologistas, oncologistas, fisioterapeutas e cientistas relacionados a promover a excelência na saúde do paciente e bem estar através da educação, pesquisa e inovação tecnológica. A Sociedade tem base em Oak Brook, Illinois. (RSNA.org)
Para informações aos pacientes sobre fMRI cerebral, visite RadiologyInfo.org.
Fonte da matéria: https://www.eurekalert.org/pub_releases/2017-09/rson-bdm092017.php
Imagem de capa: http://www.mayoclinic.org/diseases-conditions/brain-tumor/diagnosis-treatment/drc-20350088

